Preventivna stomatologija i savetovanje
Preventivna stomatologija predstavlja osnov svake stomatološke prakse. Očuvanje zdravlja zuba i desni kao i dugotrajnosti svih stomatoloških radova moguć je jedino uz pravilno održavanje oralne higijene i redovne kontrolne preglede.
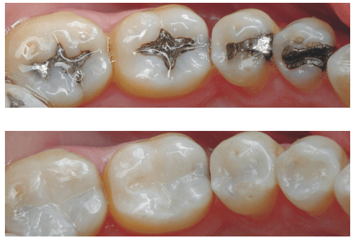
Popravka zuba (restaurativna stomatologija)
Popravka zuba predstavlja jednu od najčešćih stomatoloških intervencija. Podrazumeva uklanjanje karijesom izmenjenih zubnih tkiva i njihovu nadoknadu odgovarajućim veštačkim materijalom (plomba) čime se postiže funkcionalna i estetska rehabilitacija zuba. Primena različitih tehnika anestezije i savremenih materijala i opreme obezbeđuje da popravka zuba bude bezbolna.
Vađenje zuba
Vađenje zuba predstavlja krajnju meru i primenjuje se kada su iscrpljene sve druge mogućnosti lečenja zuba ili desni. Izvodi se u lokalnoj anesteziji uz maksimalno očuvanje susednih zuba i okolnih mekih tkiva.
Lečenje zuba (endodoncija)
Lečenje zuba predstavlja skup terapijskih mera kojima se tretira unutrašnjost zuba, odnosno mesto gde se nalazi zubna pulpa (zubni živac). Upotrebom opreme za digitalno određivanje radne dužine i mašinsku obradu kanala korena skrajućuje se vreme postupka i komplikacije nakon intervencije svode na minimum.
Stomatološka protetika
Stomatološka protetika podrazumeva nadoknadu izgubljenih zuba veštačkim materijalima. U zavisnosti od broja i rasporeda zuba koji nedostaju izrađujemo fiksne protetske radove od metalkeramike ili bezmetalne keramike, kao i sve vrste mobilnih stomatoloških nadoknada (akrilatne proteze, skeletirane proteze…).
Estetska stomatologija
Estetska stomatologija poslednjih godina zauzima sve više prostora u svakodnevnoj praksi. Pratimo zahteve naših pacijenata za poboljšanje estetike dentalne regije i nudimo niz procedura kao što su izbeljivanje zuba, izdrada estetskih bezmetalnih krunica ili vinira…

