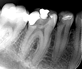
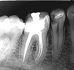
Lečenje zuba predstavlja skup terapijskih mera kojima se tretira unutrašnjost zuba, odnosno mesto gde se nalazi zubna pulpa (zubni živac). Zavisno od stanja zubne pulpe, odnosno da li su u zubni kanal dospeli mikroorganizmi ili ne, lečenje zuba se može obaviti u jednoj ili više seansi. Upotrebom opreme za digitalno određivanje radne dužine i mašinsku obradu kanala korena skrajućuje se vreme postupka i komplikacije nakon intervencije svode na minimum.
Zubni kanal neophodno je obraditi dezinfikovati i trodimenzionalno hermetički zatvoriti. Tako se sprečava prodor bakterija iz usne duplje preko zubnog kanala do koštanog tkiva vilica.
