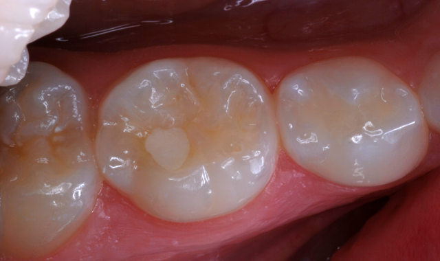
Popravka zuba predstavlja jednu od najčešćih stomatoloških intervencija. Podrazumeva uklanjanje karijesom izmenjenih zubnih tkiva i njihovu nadoknadu odgovarajućim veštačkim materijalom (plomba) čime se postiže funkcionalna i estetska rehabilitacija zuba. Primena različitih tehnika anestezije i savremenih materijala i opreme obezbeđuje da popravka zuba bude bezbolna.
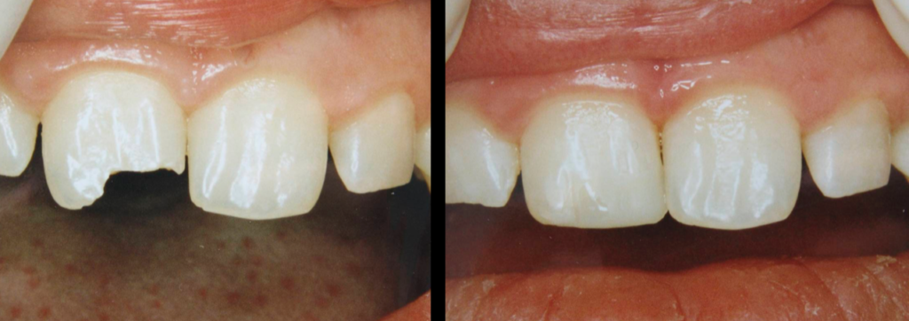
Kompozitnim plombama se mogu restaurirati i sitni prelomi i defekti zuba naročito u prednjoj regiji. Zbog svojih izuzetnih estetskih i mehaničkih svojstava kompoziti danas spadaju u materijal broj 1 za popravku (restauraciju) zuba.
Pored kompozita mogu se koristiti i plombe od Glasjonomer cementa. On ima nešto slabija mehanička i estetska svojstva ali ima mogućnost hemijske veze za zubno tkivo i odlično rubno zatvaranje.
Ne postoji idealna plomba niti idealan materijal za ispune, ali uz pravilan izbor materijala, tehnike postavljanja i preparacije moguće je postići dugotrajnost plombe, očuvanje zdravlja zuba kao i zadovoljavajući nivo estetike.
