Stomatološka protetika podrazumeva nadoknadu izgubljenih zuba veštačkim materijalima. U zavisnosti od broja i rasporeda zuba koji nedostaju izrađujemo fiksne protetske radove od metalkeramike ili bezmetalne keramike, kao i sve vrste mobilnih stomatoloških nadoknada (akrilatne proteze, skeletirane proteze…)
MOBILNA PROTETIKA
Zubne nadoknade koje nisu cementirane za zube ili implante i imaju mogućnost vađenja zovu se mobilne proteze. Mogu biti totalne i parcijalne zavisno od toga da li ima preostalih zuba u vilicama ili ne. Izrađuju se od akrilata, kombinacije metala i akrilata ili silikona.
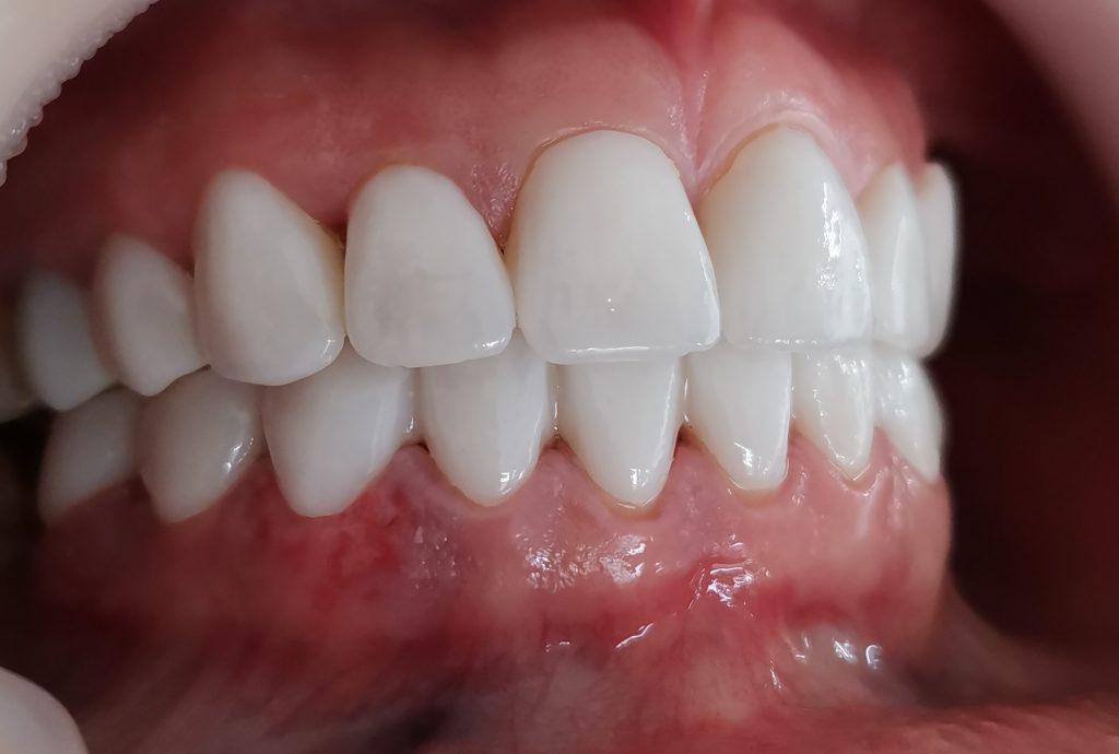
FIKSNA PROTETIKA
Zubne nadoknade koje se cementiraju u ustima i ostaju trajno vezane za zube nosače ili implante zovu se fiksne nadoknade. Izrađuju se od metalkeramike ili bezmetalne keramike.
KOMPLEKSNE (KOMBINOVANE) PROTEZE
Kada se zubne proteze sastoje iz više delova od kojih se pojedini trajno cementiraju, a drugi su mobilni takve nadoknade nazivamo kompleksne. Veza između fiksnog i mobilnog dela se najčešće obezbeđuje pomoću ATEČMENA (drikera) koji su postavljeni tako da se nakon „ukopčavanja“ dva dela u ustima ne vide. Kompleksne proteze se koriste u slučajevima gde je raspored preostalih zuba nepovoljan za postavku fiksnog rada, a neophodno je uspostaviti maksimalnu estetiku i funkcionalnost regije.
